心路历程
心路历程
本人简直太倒霉了,好不容易买了一个超漂亮的高跟鞋,一出门就摔倒!!嗨~ 把一颗牙齿给弄断了。没办法,只能去医院整整。。。
医生说,根还在补一个牙齿就好了,没必要种一颗牙齿。但,没想到不一颗牙会这么贵。一个月的工资又该没了~
手术体验
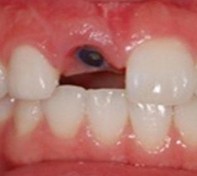
术前

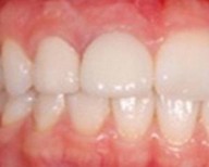
术后

技术倒是挺发达的,几乎看不出假牙~
本人比较满意!
术后快两个月了,但吃冷饮的时候还是会有一种酸酸的感觉,难受些。。。
难道我一直就一直喝不了冷饮不可??



新浪微博
腾讯微博
QQ空间