心路历程
少女小鱼一单一双眼皮 无痕缝线式双眼皮立即改善
印象中的双眼皮手术,好像都是把单眼皮→双眼皮
或是原来的双眼皮没有很明显,把它变得更明显。
前阵子有一个很特别的案例
WO这个妹妹,她的眼睛是左单右双,让她困扰很久,
所以她想透过「无痕缝线式双眼皮」来改善这问题
这手术的难度,不仅仅是把单眼皮变成双眼皮,
原本右眼的双眼皮不动,隻动左眼,所以高度要跟右眼差不多,
才不会看起来很奇怪,技术与美感要并驾齐驱。
小编看到术后效果后,真是一大跳,看起来超自然的,
完全感觉不出有动过双眼皮手术,真為她开心!
手术体验
少女小鱼从小的梦想,就是拥有一双明亮有神的眼睛,
因為一单一内双的眼睛,让她看起来眼睛一大一小,
感觉比较没精神,总是"差了一点"。

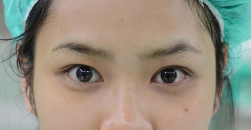
(上图為小鱼在手术前的照片)
少女小鱼来求诊时,明确表达她喜欢像她的右眼那样的内双眼睛,
隻希望左眼能调整到如右眼一般,经极緻医美荆伟政医师诊断及评估后,
决定採用单侧缝线式双眼皮手术,手术时间仅约10分鐘,术后几乎无肿胀。

[上图:术后立即拍照]

[上图:术后冰敷是必要的喔]

[上图:看得出来我有手术吗?]
【缝线式双眼皮手术】
以不可吸收的外科手术缝线採用八字法穿过皮肤-眼瞼闆或皮肤-提眼瞼肌筋膜,

适合眼皮较薄或上眼皮脂肪不多的年轻人。
[上图:术后]

将之缝合,即可创造出双眼皮皱摺,约2-3个针孔似伤口,术后恢復快,




新浪微博
腾讯微博
QQ空间