


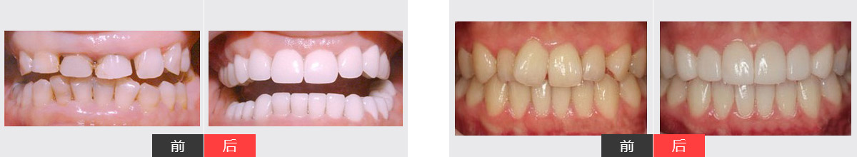
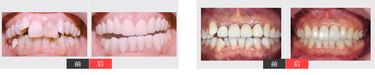
口腔全面数字化检查通过CT全景片扫描定位, 进行综合性的对比、分析牙齿咬合关系,制定美牙冠修复方案
确定美牙材料由于美牙冠的材料多种多样,根据个人体质进行检测,选择适合自己的美牙冠材料
牙体预备通过3D成像监控设计,扫描定位,进行综合性对比、分析咬合关系,指定美牙冠修复方案
量身定制专属颜色纯自然光下VITA数字化比色,29种色阶准确对照
佩戴临时牙冠美牙冠牙套需要送到瑞典或者日本定制,此时需要佩戴好临时牙套,避免因为磨牙带来的不便
佩戴美牙冠取美牙冠,试戴与邻接关系,咬合关系等,确认没有问题,粘接在预修复的牙体上。
详细档案记录河南整形为每一位口腔患者的牙齿做详细档案
